


歯は、黄色みを帯びた象牙質を半透明のエナメル質がおおった構造をしています。エナメル質の厚みには個人差がありますが、エナメル質が薄いほど、内側にある象牙質の色が透けるため、歯が黄色っぽく見える特徴があります。
よって、エナメル質が薄い歯の根元は、より黄色っぽくみえたり、象牙質がない歯の先端は、後ろが透けて黒っぽく見えることがあります。



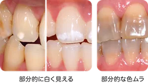
内因性の色ムラ・着色遺伝や形成期における何らかの原因により、むし歯ではなくともエナメル質が部分的に白く見えることがあります(エナメル質形成不全)。
また、歯の形成期における抗生物質等の副作用や、象牙質の内側に存在する歯髄の壊死などによって、色素沈着が起こることもあります。

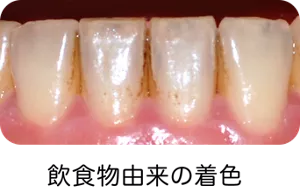
外因性の色ムラ・着色紅茶やコーヒー、ワインなどの飲食物や、タバコに含まれる成分が歯に沈着することで、歯が黄ばんで見えることがあります。
また、加齢によりエナメル質表面に亀裂(クラック)が多くなると、亀裂に外来性の色素が沈着することで、エナメル質が茶色味を帯びることがあります。


